Affirm® Contrast Biopsy Software

Combine contrast-enhanced diagnostic capabilities with accurate lesion targeting in one seamless workflow, for an efficient breast biopsy procedure.

Information for Healthcare Professionals

3D contrast mammography on a computer screen

    Overview

    Documents

    A Brighter Future for Breast Biopsy

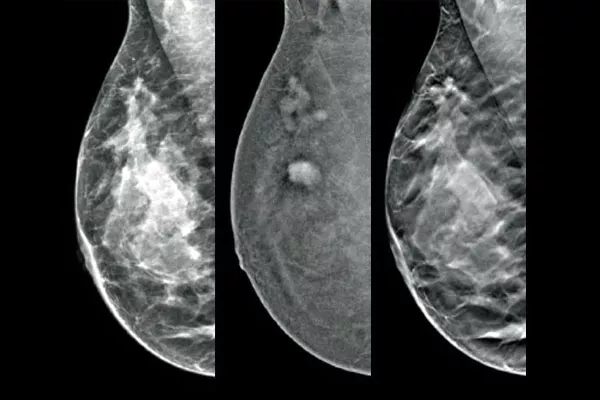
    The Affirm® Contrast Biopsy Solution enables the targeting and acquisition of breast tissue in lesions identified during contrast-enhanced mammography (CEM). Designed to maximise workflow efficiency while improving the patient experience, the complete Contrast Biopsy solution simplifies the breast biopsy process,* even for challenging procedures.

    Biopsy with Contrast

    Target and biopsy lesions identified with 2D contrast-enhanced mammography through a stereotactic-based procedure, with a comparable diagnostic performance to a breast MRI procedure.1,2 Compare post-marker images in the same modality as the initial diagnostic contrast exam.

    Efficient Clinical Workflow

    Improve the diagnostic experience by conducting the biopsy in the same room as the diagnostic imaging. Combining Affirm Contrast Biopsy software with the Affirm Upright Breast Biopsy Guidance System provides a familiar workflow, due to similarities with stereotactic biopsy.

    Improved Patient Experience

    Improve the patient experience with a shorter procedure time, higher tolerability and accessibility compared to breast MRI.2,3 Patients experience the familiarity of the same room and equipment used during their diagnostic mammogram.

    Illustration of Hologic Breast Health Continuum of Care with Radiology

    Unlock the Advantage of Time

    The Breast Health Continuum of Care offers integrated solutions for clinical confidence, workflow efficiency and compassionate patient care. It is our purpose to help more women to be in better health.

    The Affirm Contrast Biopsy Software is part of the Hologic Biopsy Solution.

    Increase Diagnostic Confidence

    Affirm Contrast Biopsy software allows you to biopsy lesions identified during the I-View® contrast-enhanced 2D mammogram. By leveraging the ability to provide 2D, contrast-enhanced, and tomosynthesis images under one compression,4 The Affirm Upright Breast Biopsy Guidance System enables a quick transition from screening to biopsy, leveraging the same proven imaging chain5 as the mammography system to improve 3D™ visualisation of suspicious lesions.**

    Discover our Complete Contrast Biopsy Solution

    Affirm® Contrast Biopsy Software, in combination with I-View Contrast-Enhanced Imaging and the Affirm Upright Breast Biopsy Guidance System delivers a more efficient breast biopsy procedure.

    An Efficient & Cost-Effective Alternative to MRI

    Functional imaging, using CEM, compares favourably to breast MRI with similar sensitivity, higher specificity, and higher positive predictive value.7,8 In addition, CEM provides a cost-effective diagnostic imaging alternative9 compared to MRI, with a shorter procedural time.7,10

    Affirm Lateral Arm Upright Biopsy Accessory attached to a 3Dimensions gantry

    Insights

    Women sitting in front of a mammography machine with a health care professional at her side. Women sitting in front of a mammography machine with a health care professional at her side.

    Global Insight: Breast and Cervical Screening Programmes Now and in the Future

    Doctor and female patient in a discussion doctor and patient discussing breast cancer

    Minimally Invasive Non-Operative Breast Cancer Interventions

    Radiographers reviewing tomosynthesis mammography on a screen Radiographers reviewing tomosynthesis mammography on a screen

    ToSyMa Study Results, a 3D Future for Breast Cancer Screening

      * Compared to MRI procedures. 
      ** Compared with prone stereotactic vacuum-assisted biopsy.

      1. Alcantara R, Posso M, Pitarch M, et al, Contrast-enhanced mammography-guided biopsy: technical feasibility and first outcomes. Eur Radiol. 2023 Jan;33(1):417-428. 
      2. Kamal R, Mansour S, Farouk A et al, Contrast-enhanced mammography in comparison with dynamic contrast-enhanced MRI: which modality is appropriate for whom?, Egypt J Radiol Nucl Med 52, 216 (2021) 
      3. Hobbs MM, Taylor DB, Buzynski S, et al. Contrast-enhanced spectral mammography (CSEM) and contrast enhanced MRI (CEMRI): Patient preferences and tolerance. J Med Imaging Radiat Oncol. 2015;59(3):300-305.
      4. Chou C, Lewin J, Chlang C et al. *Clinical Evaluation of Contrast-Enhanced Digital Mammography and Contrast Enhanced Tomosynthesis-Comparison to Contrast- Enhanced Breast MRI* Eur J Radiol. 2015 Dec; 84(12):2501-8. [Epub 2015 Oct1].
      5. Schradling S, Distelmaier M, Dirrichs T et al. Digital Breast Tomosynthesis-guided Vacuum-assisted Breast Biopsy: Initial Experiences and Comparison with Prone Stereotactic Vacuum-assisted Biopsy. Radiology. 2015 274:3,654-662.
      6. PLN-10394_001_01 – Affirm Contrast Biopsy Study.pdf.
      7. Li L, Roth R, Germaine P, et al. Contrast-enhanced spectral mammography (CESM) versus breast magnetic resonance imaging (MRI): A retrospective comparison in 66 breast lesions. Diagn Interv Imaging. 2017;98(2):113-123
      8. Xing D, Lv Y, Sun B, et al. Diagnostic value of contrast-enhanced spectral mammography in comparison to magnetic resonance imaging in breast lesions. J Comput Assist Tomogr. 2019;43(2):245–251
      9. Patel B, Gray R, Pockaj B, et al. Potential Cost Savings of Contrast-Enhanced Digital Mammography. AJR Am J Roentgenol. 2017;208(6):W231-W237.
      10. Coffey K, Jochelson MS. Contrast-enhanced mammography in breast cancer screening. Eur J Radiol. 2022;156:110513.
       

      Safety Data Sheets

      Package Inserts